What are the Types, Causes, and Effective Solutions to an open bite?
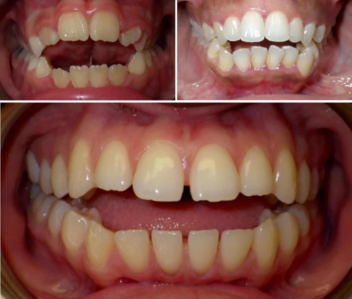
/A captivating smile can be a powerful asset, but when dental issues like open bites emerge, it can affect both aesthetics and functionality. An open bite occurs when the upper and lower teeth don't meet properly when the jaws are closed.
Read More
